Triton 2

Next-Generation Multimodal Swept Source OCT

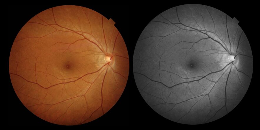
Fundus camera
Fotografietype
Kleur, Infrarood licht (IR)
Beeldhoek
50° ± 5°
OCT
Technologie
Swept Source OCT
Scansnelheid
100.000 A-scans per seconde

De nieuwe Topcon DRI OCT Triton2 zet de standaard voor moderne oogheelkundige beeldvorming. Dankzij de geavanceerde Swept Source OCT-technologie in combinatie met een echte kleur-funduscamera, levert het systeem uiterst gedetailleerde beelden met diepe penetratie en hoge resolutie. De Triton2 biedt snelle, gebruiksvriendelijke beeldvorming en een gestroomlijnde workflow, waardoor diagnostiek en follow-up eenvoudiger en efficiënter worden dan ooit.

Powered by IMAGEnet 7

  • Swept Source OCT 100.000 A-scans / sec
  • Maximale netvliesscan (lengte x diepte): 17 x 12 mm
  • Maximale scan voor het voorste segment (lengte x diepte): 24 x 15 mm
  • Maximale OCT-A enkele scan (netvlies): 15 x 15 mm

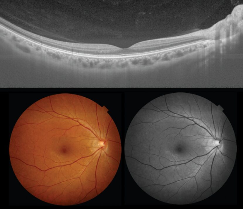
3D Wide-scan

De 12×9 mm 3D Wide-scan legt zowel de oogzenuw als de macula vast in één opname, wat zorgt voor een grondige evaluatie van de achterste oogpool in 1 scan.
De Triton2-referentiedatabase beslaat het volledige scanbereik en maakt gedetailleerde diktevergelijkingen binnen het gezichtsveld mogelijk — ideaal voor het detecteren van patronen zoals RNFL-verdunning, een kenmerk bij glaucoom.

Onzichtbare scanlijnen

Het onzichtbare licht met een golflengte van 1.050 nm helpt patiënten zich beter te concentreren op het fixatiedoel tijdens de scan, waardoor onvrijwillige oogbewegingen worden verminderd.
Dit draagt bij aan een efficiëntere workflow in de praktijk doordat het aantal noodzakelijke rescans aanzienlijk wordt verminderd.

Hood Report voor Glaucoma

Het Hood Report vereenvoudigt het beslissingsproces door de correlatie tussen structuur (GCL/RNFL) en functie (overlay van de locaties van het gezichtsveldonderzoek).
Een enkele breedveld-OCT-scan met het Hood Report kan waardevolle informatie bieden voor de diagnose van vroegtijdig glaucoom en simuleert het toekomstige gezichtsveld.

Fundus Imaging

De innovatieve slit-scan illuminatie en het rolling shutter-mechanisme van de Triton2 produceren kleurfundusbeelden van uitstekende kwaliteit, met minder schittering (flare) en schaduwvorming.
Het slit-scan-mechanisme helpt een van de bekende oorzaken van slecht beoordeelde beelden te overwinnen, dankzij het vermogen om effectief door kleine pupillen te beeldvormen.
Deze geavanceerde technologie stelt de Triton2 bovendien in staat om scherpe, hoogwaardige fundusbeelden vast te leggen, ongeacht miosis of de lichtomstandigheden, in tegenstelling tot conventionele funduscamera’s.

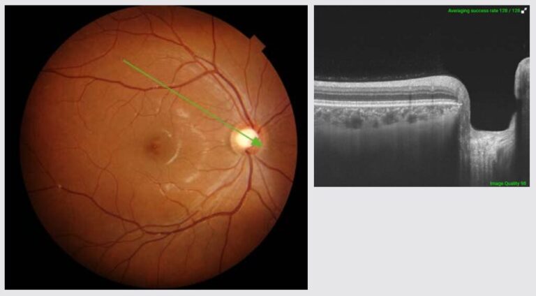
Fundus-Guided Acquisition (FGA)

Met Fundus-Guided Acquisition (FGA) kunnen OCT-scanlocaties eenvoudig worden bepaald door direct het gewenste gebied op het fundusbeeld te selecteren.
Dankzij FGA kan de operator een fundusbeeld vastleggen of importeren, de gewenste locatie nauwkeurig aanduiden en automatisch één B-scan of een reeks B-scans uitvoeren.

Follow-upfunctie

De follow-upfunctie maakt het eenvoudig om dezelfde locatie opnieuw te bekijken en te analyseren, waardoor een naadloze vergelijking tussen eerdere en actuele gegevens mogelijk is.
De gebruiker hoeft enkel de vorige scan te selecteren — de Triton2 legt vervolgens automatisch hetzelfde gebied opnieuw vast.

Retinale en Choroïdale Diktelagenkaarten

IMAGEnet®7 biedt tot vijf retinale diktelagenkaarten, waarmee de kwantificering van retinale lagen en sublagen mogelijk is.

De Triton2 zorgt voor een duidelijke visualisatie van de choroidea en genereert choroïdale diktelagenkaarten, waardoor clinici een beter inzicht krijgen in structurele veranderingen van de choroidea.

Smart add-ons voor maximale OCT-performance

  • OCT-Angiografie & En-Face OCT
  • Wide-field OCT en OCTA tot een beeldveld van 21 mm
  • Smart Denoise* voor een hogere signaal ruisverhouding bij 3D OCT en OCTA
  • Voorste segment OCT

OCT Angiografie

De optionele Swept Source  OCT Angio™ integreert OCT Angiography met Swept Source-technologie en een lange golflengte van 1050 nm.
Aangedreven door OCTARA™, een gepatenteerd beeldverwerkingsalgoritme, maakt SS OCT Angiography een gedetailleerde visualisatie van de vasculaire structuren mogelijk, evenals de monitoring van belangrijke retinale pathologieën.

Smart Denoise

Smart Denoise is een beeldverwerkingsalgoritme dat artefacten vermindert en het contrast verhoogt.
Hoogwaardige OCT- en OCTA-beelden met een gereduceerd ruisniveau worden gegenereerd uit elke B-scan binnen de dichte datacubes, dankzij het gebruik van Topcon’s unieke AI-algoritme.

Wide-field OCT en OCTA

De optionele groothoek-adaptorlens maakt het mogelijk om scans tot 21 mm lengte vast te leggen.
Verkrijg meer klinische inzichten met groothoek-OCT- en OCTA-beeldvorming – waardevol bij een breed scala aan oogaandoeningen.

Voorste Segment OCT

De optionele beeldvormingsfunctie voor het voorste segment maakt de visualisatie van het hoornvlies, de voorste kamerhoek, de iris en de voorste sclera mogelijk.
De voorste-segment-adaptorlens wordt gecombineerd met kwantitatieve analysemogelijkheden.
Met de toevoeging van deze optionele functies biedt de Triton2 een waardevolle totaaloplossing voor een volledige (anterieure en posterieure) oogzorgtoepassing.

Uitgebreide Analyse met Kwantitatieve Evaluatie

Lijnscanlengte: 16 mm
Met een scanbreedte van 16 mm legt de Triton2 beide iridocorneale hoeken vast in één opname, wat zorgt voor een snelle en efficiënte evaluatie.
In combinatie met IMAGEnet®7 biedt het systeem hoekmetingen voor een nauwkeurige beoordeling.

OCT B-scanlengte (16 mm)
Radiale scanlengte: 9 mm
Met de 9 mm radiale scan levert de kwantitatieve analyse een automatische meting van de totale corneadikte, epitheliale en stromale dikte, wat de diagnose en opvolging van diverse aandoeningen ondersteunt.

Kenmerken

Fundus camera
Fotografietype
Kleur, Infrarood licht (IR)
Beeldhoek
50° ± 5°
Werkafstand
35,5 mm ± 0,1 mm
Fotografeerbare pupilgrootte
Ø2,0 mm of groter
Fundusbeeldresolutie (op fundus)
Kleur: Centrum: 60 lijnen/mm of meer -- Midden (r/2): 40 lijnen/mm of meer -- Periferie (r): 25 lijnen/mm of meer
Optische resolutie
Infrarood licht (IR): Centrum: 5 lijnen/mm of meer
Meetbaar dioptrisch bereik
Zonder dioptriecompensatielens: -13D tot +12D / Met concave compensatielens gebruikt: -33D tot -12D / Met convexe compensatielens gebruikt : +11D tot +40D
OCT
Technologie
Swept Source OCT
Scansnelheid
100.000 A-scans per seconde
Scanbereik (op fundus)
Horizontaal: 3 tot 12 mm ±5% / Verticaal: 3 tot 12 mm ±5%
Scanpatroon
3D-scan / Lineaire scan (lijnscan / kruis-scan / radiale scan)
Laterale resolutie
20 µm
Diepte-resolutie
Optische functie: 8 µm / Digitaal: 2,6 µm ±3%
Minimum pupilgrootte
Ø2,5 mm of groter

Vraag meer info aan

Heeft u vragen of zoekt u advies op maat? Wij staan voor u klaar.

Privacy Overview

Deze website gebruikt cookies zodat wij u de best mogelijke gebruikerservaring kunnen bieden. Cookie-informatie wordt in uw browser opgeslagen en voert functies uit zoals u herkennen wanneer u onze website opnieuw bezoekt en ons team helpen te begrijpen welke delen van de website u het meest interessant en nuttig vindt.