De Yalkaid is uitgerust met een nieuwe generatie Swept Source OCT met een indrukwekkende scansnelheid van 100 kHz. Het belangrijkste voordeel van Yalkaid is de Full-Range Swept Source-technologie, deze maakt een scandiepte van 12 mm mogelijk voor het glasvocht, de retina en het choroïd, en heeft een uitzonderlijke scandiepte van 15 mm voor het voorste oogsegment.
Met een golflengte van 1060 nm is Yalkaid bijzonder geschikt voor het scannen van patiënten met cataract of glasvochttroebelingen. Doordat het licht onzichtbaar is, wordt fixatie-afleiding geminimaliseerd. Bovendien dekken de uitgebreide 17 mm lijnscans en 15 mm 3D/OCTA-scans een groter gebied dan traditionele SD- of SS-OCT-systemen.
De optische resolutie van minder dan 6 micron maakt gedetailleerde observatie van zowel het voorste als het achterste oogsegment mogelijk.
De Yalkaid is uitgerust met een breed scala aan kwantificatie- en analysetools die zowel in de klinische praktijk als in onderzoek van grote waarde zijn. Deze functies verbeteren de diagnostische nauwkeurigheid en dragen bij aan betere behandelresultaten voor patiënten.
- 100 Khz Full Range Swept Source OCT
- Wide Field OCT & OCTA
- Panoramic VoorSegment OCT
- Volledige Glaucoom Analysis
Nieuwe generatie Full Range Swept Source OCT
- Scansnelheid: 100.000 A-scans / sec
- Maximale netvliesscan (lengte x diepte): 17 x 12 mm
- Maximale scan voor het voorste segment (lengte x diepte): 24 x 15 mm
- Maximale OCT-A enkele scan (netvlies): 15 x 15 mm
Full Range Retina OCT
- Van achterste glasvocht tot choroidea-sclera
- 17 mm tot 12 mm netvliesscan
- Automatische laagdetectie, segmentatie en meting van elke laag van het netvlies en choroïd
- Enkelvoudige lijn, kruisvormige lijn, raster- en gridscans
- LSO-fundusbeeld
Voorste Oogsegment OCT
- Van epitheel tot achterste lenskapsel
- Scan van 24 mm tot 15 mm
- Cornea-mapping: pachymetrie-, epitheel- en stromadiktekarten
- Metingen van voorste oogsegment en AC-hoek
- Automatische identificatie van sclera-uitloper en hoekrecessie
- Enkelvoudige lijn, HD radiaal (8 lijnen) AS radiaal (72 lijnen)
Full Range OCT-A
- 3 x 3 mm, 6 x 6 mm, 12 x 12 mm, 15×15 mm in één opname
- 20 x 20 mm met montage
- Automatische segmentatie in 7 lagen
- Enkelvoudige lijn, kruisvormige lijn, raster- en gridscans
Geavanceerde glaucoomanalyse met gedetailleerd iHealth-rapport
- 6×6 mm papil- en retinale zenuwvezellaag analyse met meting van cupgebied, randgebied en cup/disc-verhouding
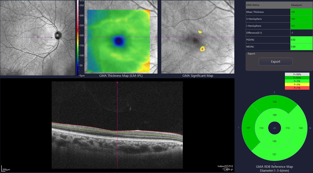
- 7×7 mm ganglion-macula-analyse meet de afstand van de interne begrenzingsmembraan (ILM) tot de buitenzijde van de binnenste plexiforme laag (IPL), die de binnenste 3 lagen van het netvlies vormt (NFL, ganglioncellagen, IPL), inclusief significantiemap (GMA-dikte vs. normatieve database)
- 15×9 mm 3D-scan voor iHealth-rapport met uitgebreide analyse van papil en macula
- Visualisatie van de poriën van de lamina cribrosa
ONH en RNFL analyse
- 3D Disc scan uit 512 horizonatle lijne in een 6 mm square area
- Bilateral 3D disc reporst
Ganglion Cell Complex analyse
- Ideale predictor om vroegtijdig glaucoom op te sporen en op te volgen
- De GMA diktekaart wordt vergeleken met de normatieve database om snel via kleurcodes een evaluatie te kunnen maken
- De PSD en de MD zijn bijkomende factoren die de graag van vroegtijdig verlies en de uitgebreidheid evalueren.
OCT-A Disc
- 6×6 mm papilscan met OCTA voor bloedstroomanalyse en dichtheidsmeting van bloedvaten in de macula
3D Anterior Scan
3D Posterior Scan
iSpot, voor PRP-laserbehandeling
- Unieke overlay van een retinale OCT-A met een en-face weergave die laserbehandelingspunten benadrukt
- Unieke oplossing om u te begeleiden bij uw fotocoagulatiebehandeling en -evaluatie






YAlkaid
BMizar